• Accueil
  • Parodontologie
  • Orthodontie esthétique
  • Facettes dentaires
  • Blanchiment dentaire
  • contact
  • Accueil
  • Parodontologie
  • Orthodontie
  • Implantologie
  • Facettes Dentaires
  • Blanchiment dentaire
  • Contact
Prendre RDV

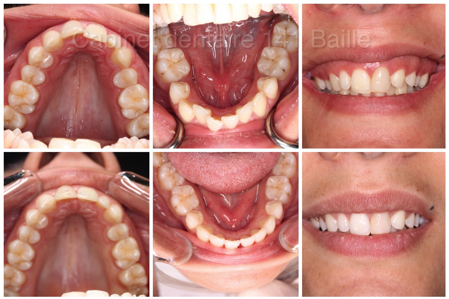
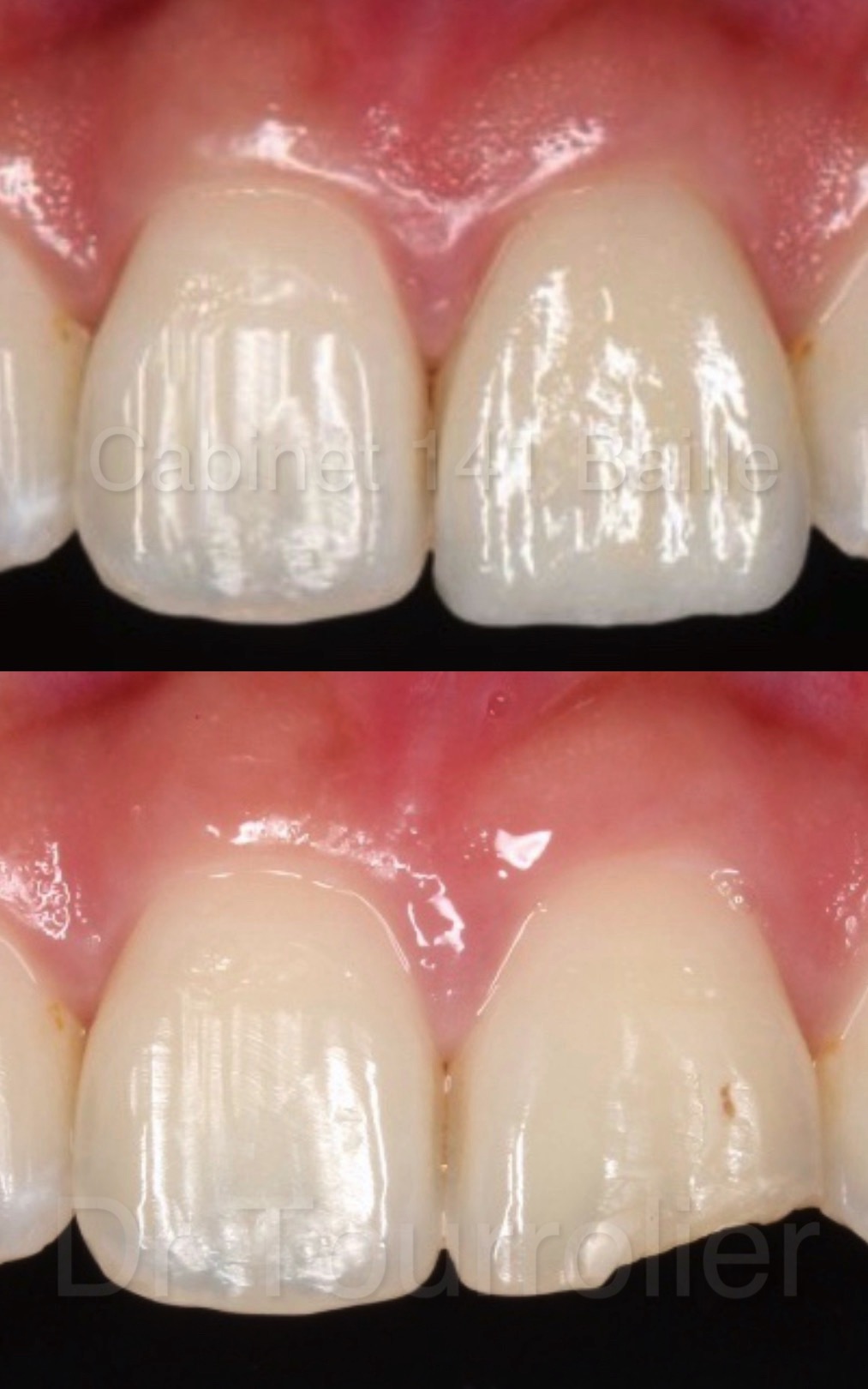
  Facettes dentaires  Résultats à Marseille

  • image
  • image
  • image
  • image

Facette Dentaire Résultats  Marseille  Cabinet Dentaire 141 Baille

Le Cabinet dentaire 141 Baille vous propose la prise en charge de votre traitement de réhabilitation esthétique de votre sourire par des techniques de dentisterie esthétique englobant la parodontologie, l'orthodontie esthétique , le blanchiment dentaire et les facettes dentaires.
Les facettes dentaires céramiques ne représentent qu'une partie du traitement ,importante certes mais indisociable des autres phases du traitement qui s'avèrent incontournables pour obtenir un résultat esthétique du sourire  probant.

Dans les cas simples comme une fracture accidentelle de la dent , il est possible de compenser le déficit esthétique avec les facettes dentaires pelliculaires  sans autres soins préalables. .Dans les cas complexes , il faudra envisager une approche pluridisciplinaire pour assainir les tissus environnant la dent, aligner les dents , blanchir la teinte de base des dents  et corriger les formes des dents.
C'est au cours du bilan esthétique initial dentaire  que nous serons en mesure de déterminer la séquence thérapeutique à mettre en oeuvre et de vous établir un chiffrage précis de votre traitement de réhabilitation de l'esthétique de votre sourire.

Contacter le Cabinet  dentaire 141 baille

Vous pouvez nous écrire via le formulaire
de cette page ou nous téléphoner  au 
+33(0)4 84 89 52 40

Send

Blanchimentdentaire cabinet spécilalisé en facettes dentaires marseille Facettes dentaires 13006 facettes dentaires avant apres facettes dentaires avis  facettes dentaires la ciotat
Facettes  dentaires lumineers Marseille  Facette dentaire pas cher Marseille  Facettes dentaires marseille tarif Facettes dentaires pas cher MarseilleFacette dentaire prix forum Marseille facette dentaire prix Marseille Facette dentaire remboursement Marseille  facette dentaire sans meulage Marseille  Facette dentaire snas tailler Marseille Facettes dentairesFacettes dentaires 13007 Marseille Facettes dentaires 13008 Facettes dentaires marseille 13009Facettes dentaires Marseille Castellane  Facettes dentaires Marseille Centre Facettes dentaires prix Marseille Facettes dentaires sans limage  Marseille   La technique des facettes dentaires sur MarseillePrix facette dentaire sur marseille Spécialiste facette dentaire Marseille  Facettes dentaires Aubagne 13400Facettes dentaires 13005  Prix facettes dentaires Marseille Spécialiste facette dentaire Marseille

Le Cabinet dentaire 141 Baille

Cabinet dentaire LIBERAL spécialisé dans la prise en charge esthétique des soins dentairesà Marseille.

Informations légales

Tous droits réservés
Photos protégées cabinet dentaire 141 Baille
Site réalisé avec W.A.R.C

Mentions légales
Contact

Utilisation des cookies

Pour vous assurer une expérience réussie, 
ce site utilise des cookies et des traceurs 
Google Analytics à des fins statistiques.

Pour en savoir plus, cliquez ICI.

Réseaux sociaux

Pour suivre l'actualité du Cabinet Dentaire t,
n'hésitez pas à nous suivre sur les réseaux sociaux :

FACEBOOK / INSTAGRAM / TWITTER.

Add to cart