• Accueil
  • Parodontologie
  • Orthodontie esthétique
  • Facettes dentaires
  • Blanchiment dentaire
  • contact
  • Accueil
  • Parodontologie
  • Orthodontie
  • Implantologie
  • Facettes Dentaires
  • Blanchiment dentaire
  • Contact
Prendre RDV

Facettes dentaires pour changer son sourire Marseille 13005

  • image
  • image
  • image
  • image
  • image
  • image
  • image
  • image
  • image

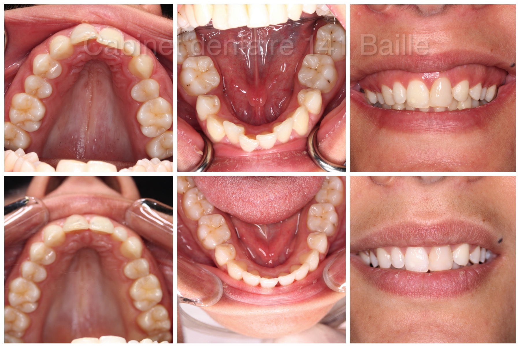
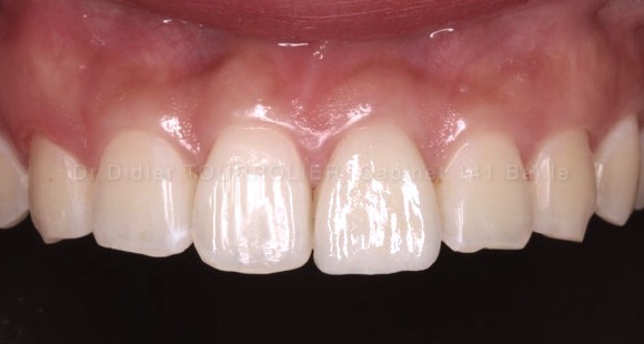
  Facettes dentaires Pour Changer Son Sourire  Marseille 13005 Cabinet Dentaire 141 Baille

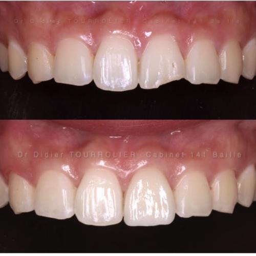
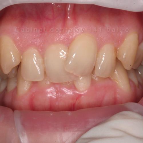
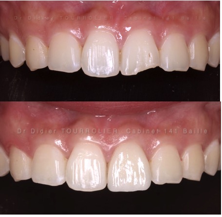
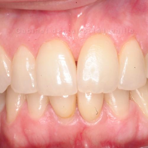
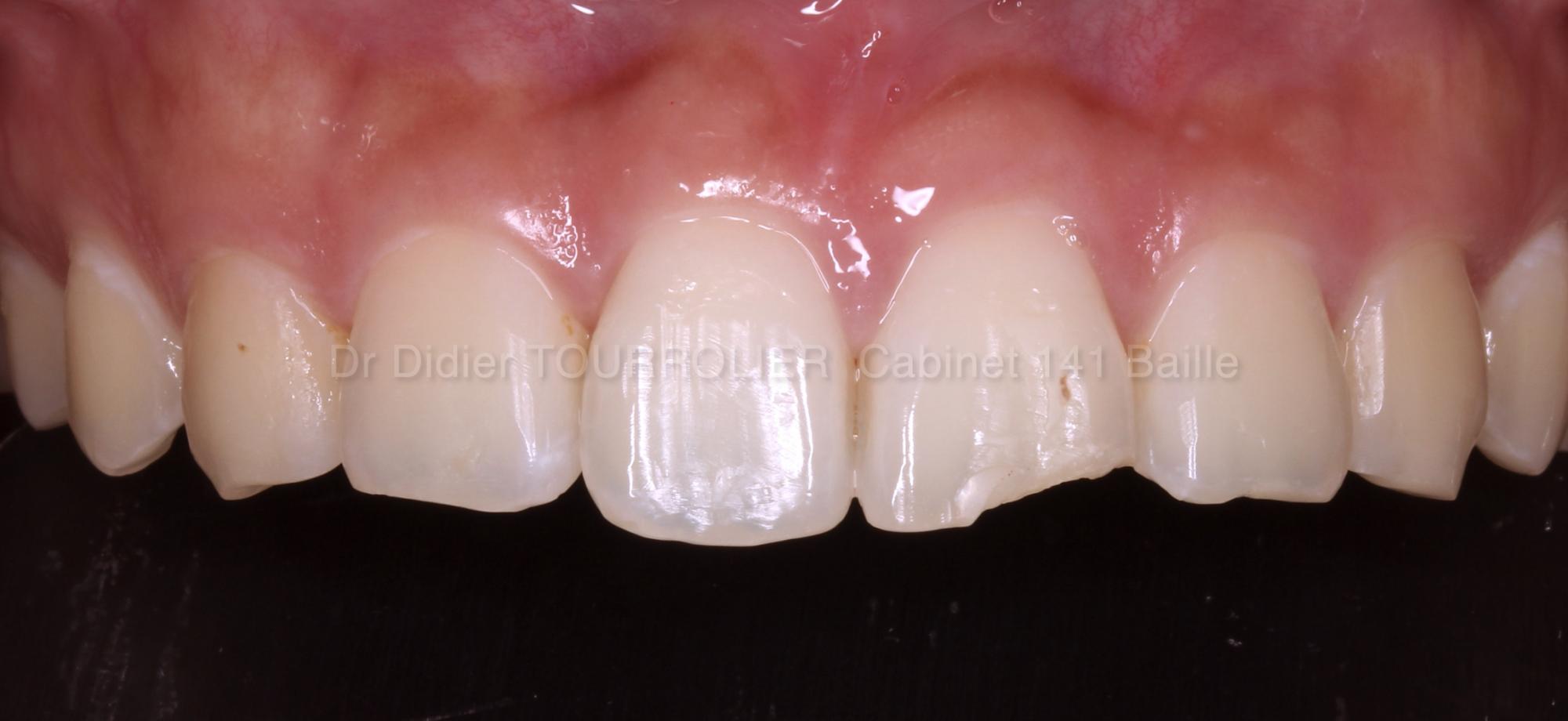
Les facettes dentaires pelliculaires offrent de nouvelles persepctives de soins en matière d'esthétique dentaire .Ce nouvel arsenal thérapeutique dérivé des techniques avancées de dentisterie esthétique micro-invasive adhésive permet aux praticiens de proposer une véritable métamorphose du sourire des patients.
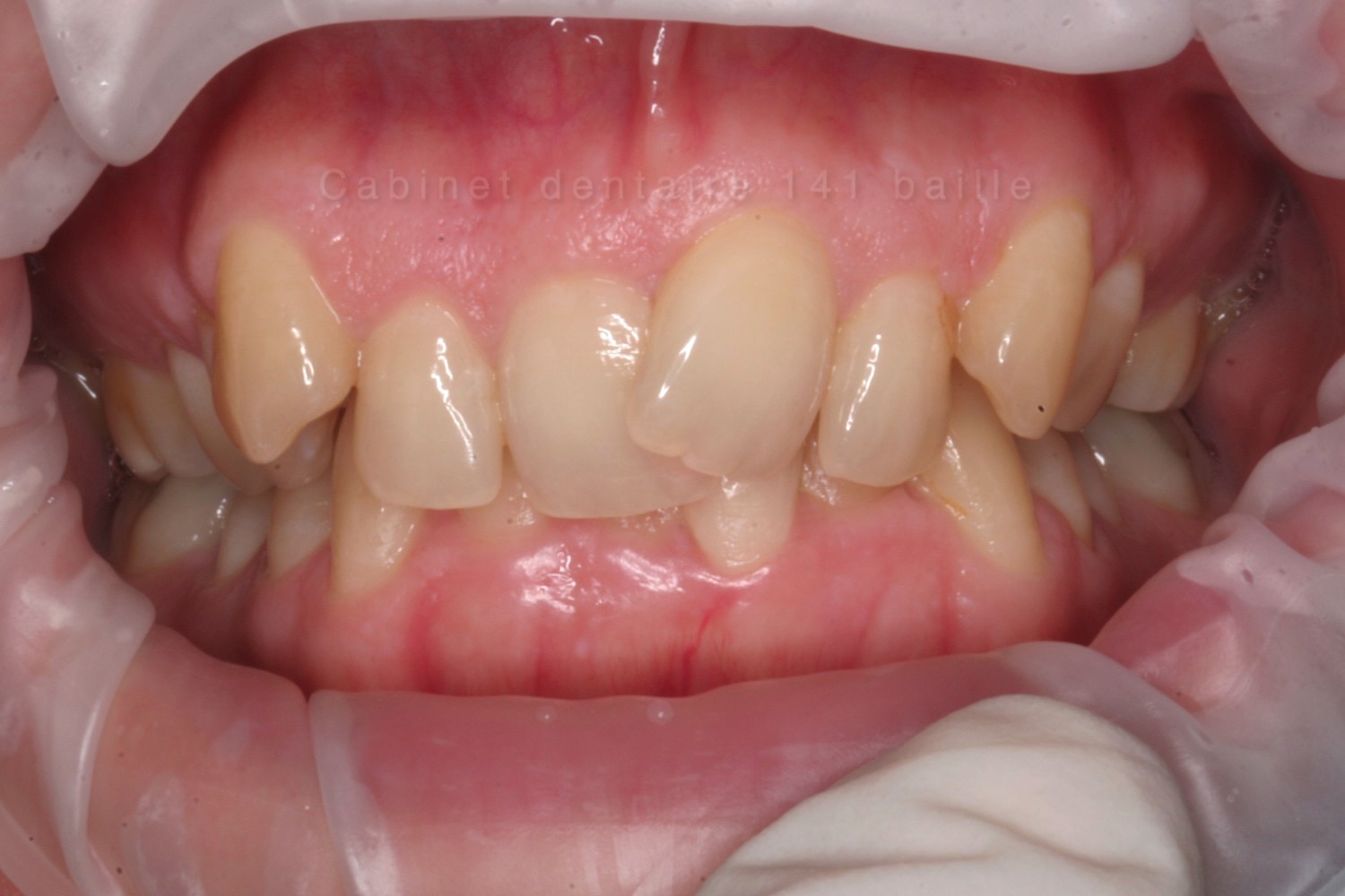
Il est ainsi possible de redonner leur forme initiale aux dents qui ont connu des incidents de parcours :
Fractures dentaires accidentelles.Abrasions dentaires.Dyschromies dentaires.
Il est possible de mettre en oeuvre simultanément d'autres techniques thérapeutiques telles que :

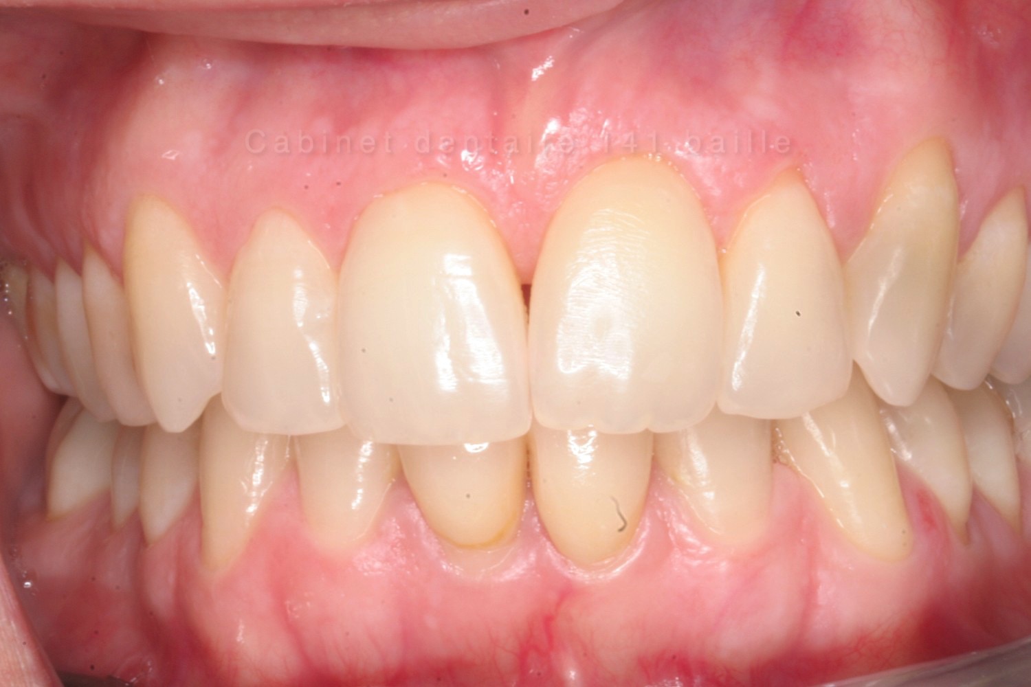
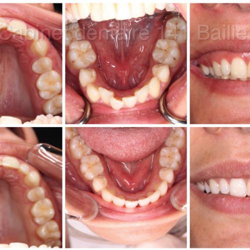
La parodontologie: qui est la discipline de la dentisterie qui traite les tissus environnant  la dent.Il n'y a pas de beau sourire sans une gencive saine.Une gencive inflammatoire va nuire au rendu esthétique du sourire et va compromettre la tenue dans le temps. L'orthodontie esthétique basée sur un réalignement dentaire sans appareil .Le blanchiment dentaire pour travailler sur la teinte de base des dents.

Dans notre cabinet nous vous proposons une prise en charge globale et multidisciplinaire  .Notre équipe soignante est formée aux techniuqes de dentisterie adhésive .Nous avons notre propre laboratoire de prothèse dentaire qui assure la  réalisation des facettes dentaires sur place ,ce qui nous permet de maitriser la globalité du traitement esthétique de votre sourire.

Contacter le Cabinet  dentaire 141 baille

Vous pouvez nous écrire via le formulaire
de cette page ou nous téléphoner  au 
+33(0)4 84 89 52 40

Send

Blanchimentdentaire cabinet spécilalisé en facettes dentaires marseille Facettes dentaires 13006 facettes dentaires avant apres facettes dentaires avis  facettes dentaires la ciotat
Facettes  dentaires lumineers Marseille  Facette dentaire pas cher Marseille  Facettes dentaires marseille tarif Facettes dentaires pas cher MarseilleFacette dentaire prix forum Marseille facette dentaire prix Marseille Facette dentaire remboursement Marseille  facette dentaire sans meulage Marseille  Facette dentaire snas tailler Marseille Facettes dentairesFacettes dentaires 13007 Marseille Facettes dentaires 13008 Facettes dentaires marseille 13009Facettes dentaires Marseille Castellane  Facettes dentaires Marseille Centre Facettes dentaires prix Marseille Facettes dentaires sans limage  Marseille   La technique des facettes dentaires sur MarseillePrix facette dentaire sur marseille Spécialiste facette dentaire Marseille  Facettes dentaires Aubagne 13400Facettes dentaires 13005  Prix facettes dentaires Marseille Spécialiste facette dentaire Marseille

Le Cabinet dentaire 141 Baille

Cabinet dentaire LIBERAL spécialisé dans la prise en charge esthétique des soins dentairesà Marseille.

Informations légales

Tous droits réservés
Photos protégées cabinet dentaire 141 Baille
Site réalisé avec W.A.R.C

Mentions légales
Contact

Utilisation des cookies

Pour vous assurer une expérience réussie, 
ce site utilise des cookies et des traceurs 
Google Analytics à des fins statistiques.

Pour en savoir plus, cliquez ICI.

Réseaux sociaux

Pour suivre l'actualité du Cabinet Dentaire t,
n'hésitez pas à nous suivre sur les réseaux sociaux :

FACEBOOK / INSTAGRAM / TWITTER.

Add to cart